Patient Information
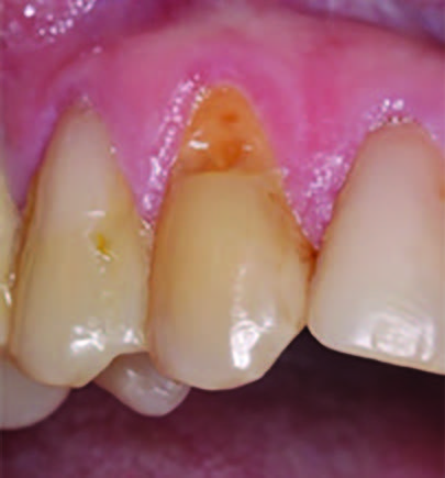
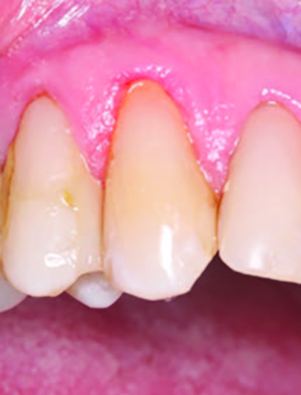
A 72-year-old male presented with a history of restoration loss and recurring sensitivity on tooth #6. The Patient reported that the previous restoration had dislodged, and he experienced sensitivity localised to the cervical area. His medical history is non-contributory.
Figure 1.
Initial presentation of tooth #6 showing the Class V lesion with dislodged previous restoration and exposed dentin.

Diagnosis and Treatment Plan
Clinical examination confirmed the presence of a small lesion and sensitivity, likely due to exposed dentin.
Treatment Protocol: Caries Detection and Preparation
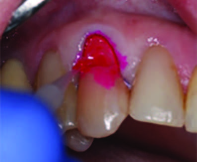
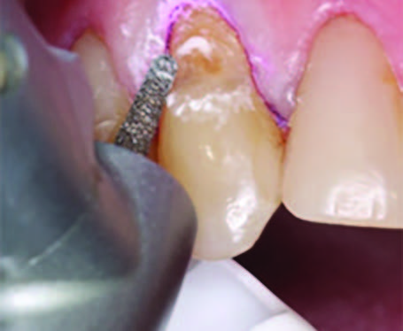
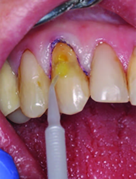
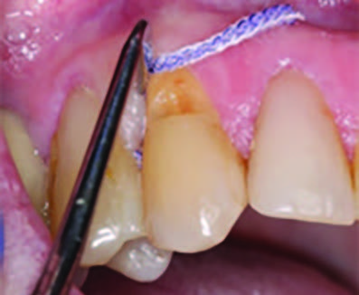
To improve isolation and soft tissue access, a retraction cord was placed before initiating the procedure (Fig. 2). The tooth was evaluated using a caries indicator dye (Kuraray Noritake Dental), helping to identify any remaining infected tissue beneath the dislodged composite (Fig. 3). Decay removal was completed with a diamond bur, and the enamel was bevelled using a starburst pattern to enhance aesthetic blending (Fig. 4). This preparation design was chosen for visual integration rather than bond strength enhancement.
Figure 2. Placement of the retraction cord to improve isolation and access to the cervical area prior to preparation.
Figure 3. Application of caries indicator dye to identify the remaining infected tissue beneath the dislodged composite.

Figure 4. Preparation of the lesion is completed with diamond bur and starburst beveling pattern to enhance aesthetic blending.

Microabrasion
A PrepStart™ H2O Hydro Abrasion System (Danville Materials) was used to remove any residual plaque and biofilm, ensuring a clean bonding surface.
Etching and Bonding
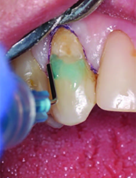
Selective etching of the enamel was performed using a phosphoric acid etchant, followed by rinsing and air drying (Fig. 5). CLEARFIL™ Universal Bond Quick 2 was then applied according to the manufacturer’s protocol: a three second application, gentle airdrying, and light-curing for 20 seconds (Fig. 6).
Restoration Placement
CLEARFIL MAJESTY™ ES Flow Universal in shade UD (Universal Dark) was paced in 0.5mm increments, with each layer light-cured prior to the next (Figure 7). Approximately 3-4 layers were used to fully restore the lesion to its final contour. (Figure 8). The spherical fillers and light scattering properties of the flowable composite allowed for seamless shade integration with the surrounding enamel.
Finishing and Polishing
A fine-grit diamond bur was used to shape and finish the restoration (Fig. 9). Final luster was achieved using a twostep polishing system from Meisinger USA (Fig. 10). The retraction cord was removed at the end of the procedure.
Rationale for Product Selection
In selecting restorative materials, I rely on products that are not only backed by solid research but also deliver consistently high performance in clinical situations. I used CLEARFIL™ Universal Bond Quick 2 and CLEARFIL MAJESTY™ ES Flow Universal for this case. CLEARFIL™ Universal Bond Quick 2 is extremely easy to use. It has a very thin viscosity that adapts to the tooth structure, and the application with a quick three second application, gentle air dry and light cure.
Figure 5. Selective etching of the enamel at the margins.

Figure 6. Application of CLEARFIL Universal Bond Quick 2 following selective etching of the enamel margins.
Figure 7. Incremental placement of CLEARFIL MAJESTY ES Flow in shade UD (Universal Dark) in 0.5 mm layers.

Figure 8. Completed restoration after full placement of CLEARFIL MAJESTY ES Flow in multiple increments.

Figure 9. Initial contouring and shaping of the restoration using a fine-grit diamond bur.

Figure 10. Completed restoration immediately after polishing, showing excellent shade integration with the surrounding tooth structure.

CLEARFIL MAJESTY™ ES Flow Universal has outstanding physical properties and aesthetic blending capabilities. The new spherical filler formulation allows it to scatter light and blend into surrounding tooth structure. Despite being a flowable, it has the strength and durability needed. I prefer working with sculptable materials that have a flowable but give me confidence in their long-term performance.
Patient Results
The patient reported immediate relief from sensitivity and was pleased with the natural appearance of the restoration. The conservative approach restored both form and function with minimal tooth reduction, while the selected materials ensured durability and long-term success.

Shop Products Online Now