Class II Correction with Carriere Motion 3D Appliance and Clear Aligner Therapy.
Clear aligner therapy has been shown to be effective in resolving mild to moderate malocclusions, with shorter treatment and less chairtime compared to conventional systems¹. To overcome some of the aligners’ biomechanical limitations while still enabling aesthetic treatment of more complex clinical conditions, clear aligners can be combined with various types of auxiliaries [2-4]. Let’s look at the case of an 14-year-old male patient with Class II relationship on right and edge-to-edge relationship on left before treatment.
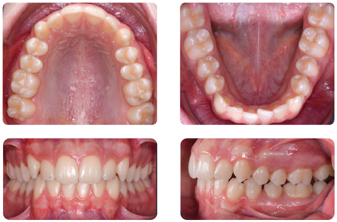
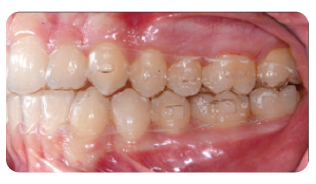
Below picture before treatment.



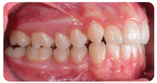
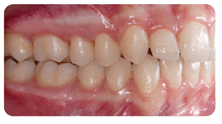
After four months of the Carriere Motion Appliance and full-time intermaxillary elastics, a Class I molar and canine relationship was achieved.

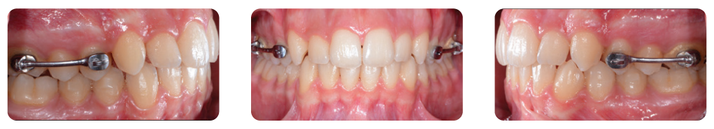
To avoid relapse, we started clear aligner therapy less than two weeks after the Carriere Motion Appliance was removed. The virtual setup showed that 12 aligners would be needed in each arch to resolve the crowding and achieve leveling and alignment.


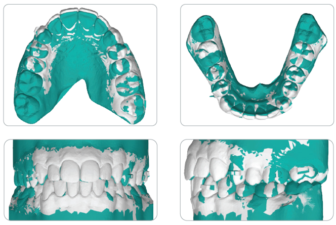
Overlay of initial (white) and post-treatment (green) occlusion in virtual setup viewer. Buccal grip points were planned on the upper right canine and first premolar, upper left canine and first molar, lower right first premolar, and lower left canine and second premolar. In addition, 0.1 mm of interproximal reduction (IPR) was planned at each contact point from the mesial surface of the upper right first molar to the mesial surface of the upper left first molar, and from the mesial surface of the lower left second premolar to the mesial surface of the lower right second premolar. IPR was used to reduce the proclination of both arches and achieve a good anterior relationship with normal overjet and overbite. Aligners were changed every two weeks. After the 12th planned set of aligners, four more were added to the series to refine the result (pictures below).


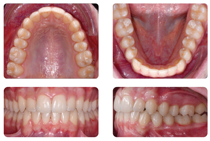
The clear aligner therapy lasted eight months. Treatment Results Post-treatment records indicated a satisfactory outcome after four months of Carriere Motion Appliance with fulltime Class II elastic wear and eight months of clear aligner therapy.


The patient showed an aesthetic profile and incisor display on smiling, along with a Class I canine and molar relationship. The midlines were centered and the crowding was resolved, but the second molar occlusal contacts were less than optimal, probably because of the presence of a palatal precontact. Post-treatment panoramic radiography evidenced good root parallelism with no sign of crestal bone height reduction or apical root resorption. Cephalometric analysis indicated that the inclination of the lower incisors with respect to the mandibular plane (IMPA) increased slightly, from 96.3° to 9.9°, demonstrating the anchorage control provided by the appliance (check Table 1 in the full article). Superimposition of the pre- and post-treatment cephalometric tracings, according to the method developed by Björk,9,10 highlighted a clockwise rotation of the occlusal plane. The appliance’s control of the vertical height and lower-incisor proclination was clear from the regional superimpositions. Even though the treatment period was short, the superimpositions revealed considerable residual growth in a downward and forward direction, since the initial radiographs were taken six months before treatment began.
Authors
Dr. Lombardo is a Professor and Chairman, Drs. Cremonini and Cervinara are residents, and Dr. Oliverio is a Research Assistant, Postgraduate School of Orthodontics, and Dr. Siciliani is chairman, School of Dentistry, University of Ferrara, Via Luigi Borsari 46, 44121 Ferrara, Italy.

References
1. Zheng, M.; Liu, R.; Ni, Z.; and Yu, Z.: Efficiency, effectiveness and treatment stability of clear aligners: A systematic review and meta-analysis, Orthod. Craniofac. Res. 20:127-133, 2017.
2. Robertson, L.; Kaur, H.; Fagundes, N.C.F.; Romanyk, D.; Major, P.; and Flores Mir, C.: Effectiveness of clear aligner therapy for orthodontic treatment: A systematic review, Orthod.
Craniofac. Res. 23:133-142, 2020.
3. Lombardo, L.; Colonna, A.; Carlucci, A.; Oliverio, T.; and Siciliani, G.: Class II subdivision correction with clear aligners using intermaxillary elastics, Prog. Orthod. 19:32, 2018.
4. Lombardo, L.; Carlucci, A.; Maino, B.G.; Colonna, A.; Paoletto, E.; and Siciliani, G.: Class III malocclusion and bilateral crossbite in an adult patient treated with miniscrew-assisted rapid
palatal expander and aligners, Angle Orthod. 88:649-664, 2018.